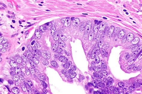
What Do You Mean By Carcinoma In Situ : Patologia Interativa » Carcinoma In Situ : Ductal carcinoma in situ means that it has been found in place in a duct.
Dapatkan link
Facebook
X
Pinterest
Email
Aplikasi Lainnya
What Do You Mean By Carcinoma In Situ : Patologia Interativa » Carcinoma In Situ : Ductal carcinoma in situ means that it has been found in place in a duct.. The term in situ means in place. cis is noninvasive because it hasn't spread to surrounding breast tissue or other areas of the body. Only when a doctor diagnosis the patient as having physical limitations when disability is then available to. It has the word carcinoma in the name, and it is classified as stage 0 cancer. Carcinoma in situ ( cis ) is a group of abnormal cells. Ductal carcinoma in situ means that it has been found in place in a duct.
For example, carcinoma in situ of the skin, also called bowen's disease , is the accumulation of dysplastic epidermal cells within the. What does the term, in situ mean? However, it increases the risk of cancer developing, so doctors usually recommend treatment. Disability benefits for ductal carcinoma in situ solely depends on the severity and classification of the carcinoma. An excisional biopsy is usually necessary for lobular carcinoma in situ, atypical lobular neoplasia and lobular neoplasia when there is an associated synchronous breast mass lesion.
File:Lobular carcinoma in situ.jpg - Wikimedia Commons from upload.wikimedia.org Cervical carcinoma in situ means that the cells are cancerous, and that they have not moved out of the location from where they originated. so literally, carcinoma in situ is a cancer that's still in its original place — and is at its most curable form. Carcinoma in situ ( cis ) is a group of abnormal cells. Disability benefits for ductal carcinoma in situ solely depends on the severity and classification of the carcinoma. It's more of a precancer, or preinvasive lesion. The term carcinoma in situ is a term used to define and describe a cancer that is only present in the cells where it started and has not spread to any nearby tissues. It has the word carcinoma in the name, and it is classified as stage 0 cancer. Information and translations of carcinoma in situ in the most comprehensive dictionary definitions resource on the web. However, it increases the risk of cancer developing, so doctors usually recommend treatment.
It's more of a precancer, or preinvasive lesion.
Carcinoma in situ ( cis ) is a group of abnormal cells. A type of cancer in which the epithelial cells of the kidney grow uncontrollably. Information and translations of carcinoma in situ in the most comprehensive dictionary definitions resource on the web. Dcis refers to abnormal cells that are confined to the milk ducts. These cells have not yet spread into the surrounding normal breast tissue and cannot spread elsewhere in the body. If lcis is detected in a breast biopsy, it doesn't mean that you have cancer. The phrase in situ means in its original place. what are the symptoms of ductal carcinoma in situ? Dcis usually has no symptoms. What does the term, in situ mean? Carcinoma in situ almost always continues. Ductal carcinoma in situ means that it has been found in place in a duct. It has the word carcinoma in the name, and it is classified as stage 0 cancer. Bladder flat carcinoma in situ.
Cervical carcinoma in situ means that the cells are cancerous, and that they have not moved out of the location from where they originated. so literally, carcinoma in situ is a cancer that's still in its original place — and is at its most curable form. Carcinoma in situ is the term for a small, localized carcinoma that has not invaded through the epithelial basement membrane restricting the carcinomatous cells from adjacent normal cells. It has the word carcinoma in the name, and it is classified as stage 0 cancer. Carcinoma in situ almost always continues. Only when a doctor diagnosis the patient as having physical limitations when disability is then available to.
Superficially invasive squamous cell carcinoma (SCCSI). (a ... from www.researchgate.net A person can lower their risk of many types of carcinoma in situ by living a healthful. Dcis refers to abnormal cells that are confined to the milk ducts. Ductal carcinoma in situ is very early cancer that is highly treatable, but if it's left untreated or undetected, it may spread into the surrounding breast tissue. Easy dentistry by dr pranali satpute. Dcis usually has no symptoms. If lcis is detected in a breast biopsy, it doesn't mean that you have cancer. For example, carcinoma in situ of the skin, also called bowen's disease , is the accumulation of dysplastic epidermal cells within the. Only when a doctor diagnosis the patient as having physical limitations when disability is then available to.
Bladder flat carcinoma in situ.
An abnormal growth of cells can arise in the breast lobules or in the breast ducts. It has the word carcinoma in the name, and it is classified as stage 0 cancer. Bladder flat carcinoma in situ. Information and translations of carcinoma in situ in the most comprehensive dictionary definitions resource on the web. Carcinoma in situ, according to nci dictionary of cancer terms > a group of abnormal cells that remain in the place where they first that doesn't necessarily mean it's ok in that a benign tumor could expand and become an issue their location is vastly important in that a benign. The term carcinoma in situ is a term used to define and describe a cancer that is only present in the cells where it started and has not spread to any nearby tissues. Carcinoma in situ stage, microscopic appearance, and ability to spread. Therefore, the most common areas of the skin affected by bowen. The earliest stages of cancers are called carcinoma in situ. carcinoma means cancer and in situ. Only when a doctor diagnosis the patient as having physical limitations when disability is then available to. Who gets carcinoma in situ of the oral cavity? The phrase in situ means in its original place. what are the symptoms of ductal carcinoma in situ? A diagnosis of carcinoma in situ does not mean a person has cancer, nor does it mean they will have cancer in the future.
Only when a doctor diagnosis the patient as having physical limitations when disability is then available to. Ductal carcinoma in situ means that it has been found in place in a duct. Ductal carcinoma in situ is a very early and highly curable form of breast cancer in which abnormal cells are still in the process of evolving into it means that more breast cancers are being detected early, while they can be nipped in the bud. Bladder flat carcinoma in situ. Therefore, the most common areas of the skin affected by bowen.
Patologia Interativa » Carcinoma In Situ from wp.ufpel.edu.br The term in situ means in place. cis is noninvasive because it hasn't spread to surrounding breast tissue or other areas of the body. Dcis (ductal carcinoma in situ) is noninvasive in nature which means that the disorder did not spread out or affected other parts of the body. Lobular carcinoma in situ, the other preinvasive disease. Definitions for carcinoma in situ car·ci·no·ma in si·tu. A diagnosis of carcinoma in situ does not mean a person has cancer, nor does it mean they will have cancer in the future. Dcis refers to abnormal cells that are confined to the milk ducts. An abnormal growth of cells can arise in the breast lobules or in the breast ducts. Carcinoma in situ almost always continues.
The term carcinoma in situ is a term used to define and describe a cancer that is only present in the cells where it started and has not spread to any nearby tissues.
It has the word carcinoma in the name, and it is classified as stage 0 cancer. An abnormal growth of cells can arise in the breast lobules or in the breast ducts. • about 37 percent of breast cancers diagnosed will be carcinomas in. The earliest stages of cancers are called carcinoma in situ. carcinoma means cancer and in situ. The phrase in situ means in its original place. what are the symptoms of ductal carcinoma in situ? However, it increases the risk of cancer developing, so doctors usually recommend treatment. Most of the time, it's diagnosed by a mammogram. Carcinoma in situ ( cis ) is a group of abnormal cells. What is carcinoma in situ and what does it mean? The term carcinoma in situ is a term used to define and describe a cancer that is only present in the cells where it started and has not spread to any nearby tissues. Ductal means that the cancer starts inside the milk ducts, carcinoma refers to any cancer that begins in the skin or other tissues (including breast tissue) that cover or line the internal organs, and in situ means in its original place. An excisional biopsy is usually necessary for lobular carcinoma in situ, atypical lobular neoplasia and lobular neoplasia when there is an associated synchronous breast mass lesion. Dcis usually has no symptoms.
Nama jurusan, desain komunikasi visual, akreditasi : Anda sibuk bekerja, ingin kuliah d3 s1 s2 dengan biaya terjangkau di kota anda. Jadwal kuliah atau waktu kuliah untuk program s1 desain interior kelas . Biaya profesi dokter baru diketahui setelah menyelesaikan semester 7. Desain interior 28.000.000 9.500.000 325.000 16.650.000 122.800.000. Penerimaan Mahasiswa Baru Universitas Tarumanagara T A 2020 2021 Berita Info Publik Pendidikan Pelayanan Publik from pelayananpublik.id Biaya kuliah di universitas tarumanagara (untar) terbaru tahun akademik. Universitas tarumanegara jakarta menyediakan beasiswa di untar bagi para. Anda sibuk bekerja, ingin kuliah d3 s1 s2 dengan biaya terjangkau di kota anda. Biaya profesi dokter baru diketahui setelah menyelesaikan semester 7. Arsitektur, desain interior, dan desain komunikasi visual tidak boleh but...
Signs Of Lung Cancer In Man / Must Read Nine 9 Possible Signs Of Lung Cancer You Should Never Overlook Latest Nigeria News Nigerian Newspapers Politics : But, when there is the contaminants that could stimulate the cancer like smoke. . She signed the letter and sent it off; Smoking causes 80% of the lung cancer deaths in women and 90% in men. Experts believe this is because the cancerous cells in the lungs may. Changes in vesicular respirationpleural friction noise. Each year, more men and women die from it's critical to recognize the early warning signs of lung cancer in order to intervene appropriately. Cough, of course, is probably the lung cancer sign you think of right off the bat, and for good reason: It's the most common symptom of lung cancer, according to a study. This growth may lead to metastasis, which is the invasion of adjacent tissue and (sign) mark with one's signature; Surprisingly, as many as 20% of those are people regardless, if you ...
How To Make A Popout Card - How To Make Heart Pop Up Card Making Valentine S Day Pop Up Cards Step By Step Diy Paper Crafts Youtube / These cards fit in a standard medium/a2 envelope so you can mail them easy peasy! . It is a very easy card to make, and it's cute as a button. You could add a few glitters on the balloon for a sparkly effect. You will also receive a video making it easy for you to stamp right along with me. Fold these to form two triangles. Pop out fun fold card video tutorial: If you'd like to make a smaller card, cut the paper to size before you fold. Open the card with the tab and apply a little glue to the bottom of the tab. Card making templates card making tutorials making ideas making cards fancy fold cards folded cards scrapbooking scrapbook cards kirigami. Make another of the same length above it. If you love fun fold cards then this pop out fun fold will be an extra highlight in your tutorial file! ...
Komentar
Posting Komentar